КОНЕКТБИОФАРМ
+7 (499) 517 94 01
Москва
+7 (812) 926 42 30
Санкт-Петербург
+7 (861) 242 42 60
Краснодар
+7 (930) 700 20 03
Нижний Новгород
+7 (913) 479 07 80
Сибирский Ф.О.
8-912-307-2030 8-800-234-0074
Уральский ФО
+420 (775) 339-538
Ближний Восток
Меню
О компании
Контакты
Акции
Дилерам
Заказать презентацию
Стоматология
Биоматрикс
Биоимплант ГАП
Остеоматрикс
Гель ГЛИКОДЕНТ
Органайзер для Костной и тканевой регенерации
Уникальный набор SET
Хирургический шаблон
Травматология
Костные блоки
Костные чипсы
Костные клинья
Статьи
О компании
Контакты
Акции
Дилерам
Заказать презентацию
+7 (499) 517 94 01
Москва
+7 (812) 926 42 30
Санкт-Петербург
+7 (861) 242 42 60
Краснодар
+7 (930) 700 20 03
Нижний Новгород
+7 (913) 479 07 80
Сибирский Ф.О.
8-912-307-2030 8-800-234-0074
Уральский ФО
+420 (775) 339-538
Ближний Восток
Поиск по сайту
Авторизация
Закрыть
Вход
Забыли?
Войти
Войти через
Войти как пользователь
Вы можете войти на сайт, если вы зарегистрированы на одном из этих сервисов:
ВКонтакте
Используйте вашу учетную запись VKontakte для входа на сайт.
Est 2000
КОНЕКТБИОФАРМ
Стоматология
Биоматрикс
100% коллаген
Защитная мембрана и декальцинированая кость
КУПИТЬ
Биоимплант ГАП
100% костный минерал
Остеокондуктор
КУПИТЬ
Остеоматрикс
75% минеральный компонент 25% костный коллаген с сГАГ
Остеоиндуктор
Гель ГЛИКОДЕНТ
Органайзер для Костной и тканевой регенерации
Уникальный набор SET
Хирургический шаблон
Травматология
Костные блоки
Костные чипсы
Костные клинья
Статьи
Каталог
Каталог
Наименование
Цена
Количество
Сумма
Закрыть
Купить в 1 клик
Спасибо за оформление заказа.
Номер заказа: #
В ближайшее время мы с Вами свяжемся.
Закрыть
Отправить
Главная
Статьи
Статьи по стоматологии
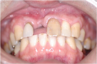
Там, где действительно нужна КОСТЬ. Технология "ОСТЕОМАТРИКС"
Там, где действительно нужна КОСТЬ. Технология "ОСТЕОМАТРИКС"
Оцените статью
9.5 (2)
Поделиться:
Статьи
ИНСТРУКЦИИ
OSTEOMATRIX/ОСТЕОМАТРИКС-ИНСТРУКЦИЯ К ПРИМЕНЕНИЮ
СТОМАТОЛОГИЯ
Сравнительная таблица остеопластических материалов
БЕЗОПАСНАЯ ПРАКТИКА
Остеоматрикс (остеоиндуктор) – там, где действительно нужна кость
СТОМАТОЛОГИЯ
Периимплантит и БИОИМПЛАНТ ГАП -ОБНОВЛЕНО
СТОМАТОЛОГИЯ
Периимплантит.Биоимплант ГАП + Флис
СТОМАТОЛОГИЯ
Увеличение толщины костного гребня с созданием поднадкостничного конвертного лоскута по М.Штайгману
СТОМАТОЛОГИЯ
Расщепление альвеолярного отростка нижней челюсти
СТОМАТОЛОГИЯ
Восстановление вестибулярной стенки альвеолы утраченной в процессе удаления
СТОМАТОЛОГИЯ
Презервация лунки после удаления зуба
СТОМАТОЛОГИЯ
Идеальный синус-лифтинг: основные причины неудач при синус-лифтинге
СТОМАТОЛОГИЯ
Кость из пробирки. горизонтальная аугментация
СТОМАТОЛОГИЯ
Хирургическое лечение радикулярных кист челюстных костей с использованием биокомпозиционного материала Остеоматрикс
СТОМАТОЛОГИЯ
Сочетание богатой тромбоцитами плазмы и костных материалов
СТОМАТОЛОГИЯ
Презервация лунки зуба с отсроченной имплантацией
СТОМАТОЛОГИЯ
Хирургические аспекты при выполнении направленной костной регенерации
СТОМАТОЛОГИЯ
Механизмы действия материала Остеоматрикс
СТОМАТОЛОГИЯ
Горизонтальное увеличение альвеолярного отростка н/ч
СТОМАТОЛОГИЯ
Одномоментная имплантация 13 зуба
СТОМАТОЛОГИЯ
ИМПЛАНТАЦИЯ В ДИСТАЛЬНОМ ОТДЕЛЕ В/Ч С УВЕЛИЧЕНИЕМ ШИРИНЫ АЛЬВЕОЛЯРНОГО ОТРОСТКА. БИОИМПЛАНТ ГАП часть 2.
СТОМАТОЛОГИЯ
БИОИМПЛАНТ ГАП
СТОМАТОЛОГИЯ
УСТРАНЕНИЕ ДЕФЕКТА ВЕСТИБУЛЯРНОЙ ПОВЕРХНОСТИ В/Ч. БИОИМПЛАНТ ГАП часть1
СТОМАТОЛОГИЯ
Сравнительное исследование микроструктуры костнозамещающих материалов
СТОМАТОЛОГИЯ
Презервация лунки после удаления зуба
СТОМАТОЛОГИЯ
Установка имплантата с увеличением фенотипа слизистой и ширины нижней челюсти в порозную кость
СТОМАТОЛОГИЯ
Установка имплантата с увеличением фенотипа слизистой и ширины нижней челюсти в порозную кость
СТОМАТОЛОГИЯ
Имплантация в/ч. Косметическое увеличение ширины альвеолярного отростка
СТОМАТОЛОГИЯ
Простое решение - Перфорация слизистой гайморовой пазухи во время имплантации
СТОМАТОЛОГИЯ
БИОИМПЛАНТ ГАП и биологическая ширина
СТОМАТОЛОГИЯ
Горизонтальное увеличение альвеолярного отростка н/ч с последующей имплантацией и вестибулопластикой
СТОМАТОЛОГИЯ
Увеличение ширины без послабляющих вертикальных разрезов (Новая концепция)
СТОМАТОЛОГИЯ
Постановка имплантата после презервации
СТОМАТОЛОГИЯ
Осложнения
СТОМАТОЛОГИЯ
"Выстраданные" наборы инструментов
СТОМАТОЛОГИЯ
Принцип направленной костной регенерации. Костная регенерация под защитой мембраны Биоматрикс
СТОМАТОЛОГИЯ
Одномоментная имплантация 36 зуба-Остеоматрикс, Биоимплант ГАП + Биоматрикс ФЛИС
УСПЕШНАЯ КЛИНИКА (ВИДЕО)
BICON периимплантит
Возврат к списку
Ваше имя
*
Ваш E-Mail
Текст сообщения
*
Перетащите файлы
Ничего не найдено
Отправить
Отменить
Размер файла не должен превышать 5 МБ.
Загрузить изображение
Разрешить смайлики в этом сообщении
Закрыть
Заказать презентацию
Ваш город
*
Москва
Санкт-Петербург
Краснодар
Нижний Новгород
Сибирский Ф.О.
Уральский ФО
Ближний Восток
Адрес
*
Ф.И.О
*
Телефон
*
Email
*
Удобное время для связи
-
Интересующий продукт
Выбрать
Стоматология
Травматология
Ранее пользовались нашими продуктами?
Да
Нет
Защита от автоматического заполнения
Отправить
Закрыть
Отправить заявку
Имя или название юридического лица
*
Телефон
*
Email
*
Регион
*
Дополнительная информация
Защита от автоматического заполнения
Отправить
Закрыть
Принять участие в разработке
Ф.И.О
*
Адрес
*
Телефон
*
Email
*
Защита от автоматического заполнения
Отправить